bigstock-219242197_1_621x621

Esta patología afecta a todo el cuerpo y debilita los huesos. Aunque está tradicionalmente asociada con mujeres postmenopáusicas, los varones también pueden padecer sus consecuencias. En el día mundial de esta enfermedad, cómo será la campaña de detección que impulsa el Hospital de Clínicas

En todo el mundo, se estima que el 30% de las mujeres y el 20% de los hombres sufrirán una fractura osteoporótica después de los 50 años En todo el mundo, se estima que el 30% de las mujeres y el 20% de los hombres sufrirán una fractura osteoporótica después de los 50 años

La osteoporosis es una enfermedad silenciosa, que afecta a todo el cuerpo, haciendo que los huesos se vuelvan frágiles. Se trata de una afección que no presenta síntomas visibles, por lo que las personas que la padecen generalmente no lo saben hasta que sufren una fractura.

Este cuadro puede alterar la calidad de vida causando dolor, discapacidad y pérdida de independencia. En algunos casos, incluso, puede ser potencialmente mortal. En todo el mundo, se estima que el 30% de las mujeres y el 20% de los hombres sufrirán una fractura osteoporótica después de los 50 años.

Esta enfermedad, hoy conmemora su Día Mundial. El objetivo esconcientizar a las personas a incrementar la ingesta de calcio y a cuidarse de las caídas en la tercera edad, ya que la patología se caracteriza por una disminución de la masa ósea y un deterioro de la microarquitectura del hueso, lo que conlleva a un aumento del riesgo de fracturas sucesivas.

Una primera fractura por osteoporosis es un fuerte predictor de otra más, ya que una persona que se fractura tiene el doble de riesgo de padecer otra y esto es más probable dentro de los 2 años siguientes.

La enfermedad se caracteriza por disminución de la masa ósea y deterioro de la microarquitectura del hueso (Getty Images)La enfermedad se caracteriza por disminución de la masa ósea y deterioro de la microarquitectura del hueso (Getty Images)

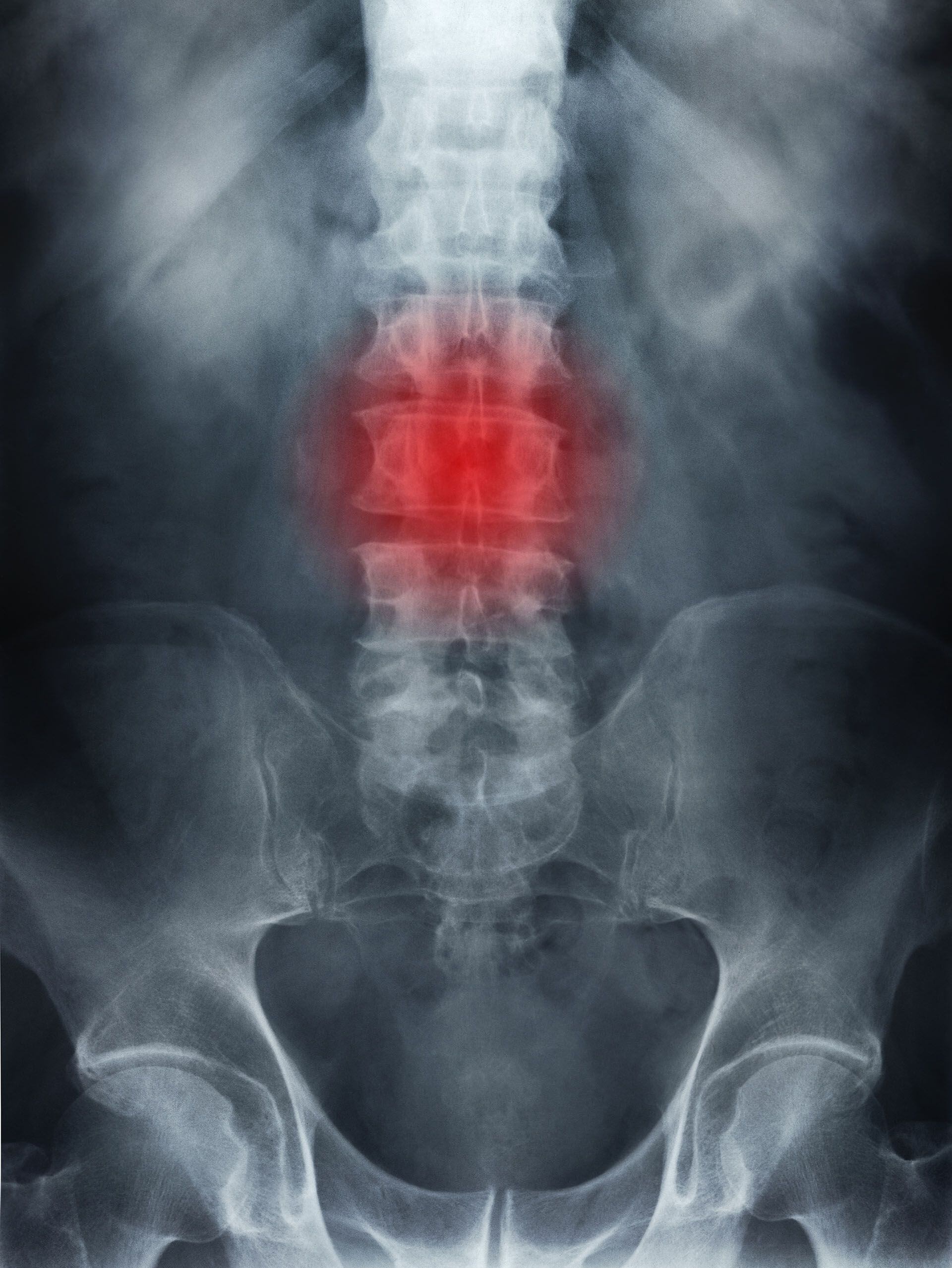
Los huesos se vuelven más frágiles y un golpe o caída puede ocasionar en una fractura. La osteoporosis afecta a todos los huesos del cuerpo. Sin embargo las fracturas se producen con mayor frecuencia en la cadera, las vértebras y las muñecas. También son frecuentes las fracturas de pelvis y de la parte superior del brazo”, explicó a Infobae la doctora Adriana Díaz, jefa de la Sección Osteopatías del Hospital de Clínicas de la UBA.

“Durante mucho tiempo, se consideró a la osteoporosis como una enfermedad ‘exclusiva’ de mujeres luego de la menopausia, hoy en día se sabe que los hombres también pueden desarrollar osteoporosis”, agregó la especialista. Se estima a nivel mundial, que 1 de cada 5 varones presentará una fractura por osteoporosis luego de los 50 años. De hecho, un tercio de las fracturas de cadera y alrededor del 40% de las fracturas vertebrales se producen en hombres, a nivel mundial.

“En el Hospital de Clínicas, casi 1 de cada 4 fracturas de cadera por osteoporosis, que ingresaron al hospital en los últimos 2 años, eran varones. El riesgo de un varón de desarrollar una fractura por osteoporosis es 27% más alto que a desarrollar un cáncer de próstata. Existe un muy bajo índice de diagnóstico y tratamiento. Una fractura es una señal clara de mayor riesgo de una fractura en el futuro”, comentó Díaz.

Los huesos se vuelven más frágiles y un golpe o caída, puede ocasionar en una fractura
(Ilustración: UNAM)Los huesos se vuelven más frágiles y un golpe o caída, puede ocasionar en una fractura (Ilustración: UNAM)

De esta manera, el riesgo de sufrir una fractura aumenta con la edad debido no solo a la disminución de la masa ósea, sino también a la mayor tasa de caídas entre los adultos mayores. “El tabaquismo, el exceso de alcohol, el hipogonadismo, el uso crónico de corticoides y el tratamiento contra el cáncer de próstata, son los principales factores que impactan negativamente en los huesos. Por eso, la prevención y tratamiento de la osteoporosis se enfoca en la corrección, de ser posible, de los factores de riesgo, en una adecuada alimentación que incluya calcio y proteínas, en corregir la deficiencia de vitamina D y en mantener una musculatura fuerte, considerando una unidad músculo-hueso, a través de ejercicios periódicos y progresivos para fortalecer los músculos, la coordinación, la postura y el equilibrio”, sostuvo la experta

Las fracturas por osteoporosis impactan negativamente en la calidad de vida de los individuos, generan pérdida de días de trabajo e independencia y altos costos en salud. En términos de mortalidad asociada a la fractura, los hombres llevan las de perder, ya que las estadísticas muestran que presentan un riesgo 2 veces mayor que las mujeres de morir luego de una fractura de cadera”, sostuvo Díaz.

“Por lo tanto, profesionales de la salud y la comunidad en general debemos tomar conciencia de que la osteoporosis también afecta al varón y que la cantidad de individuos con esta patología aumentará en los próximos años debido al aumento global de la población y al aumento de la expectativa de vida, constituyendo un desafío para los próximos años detectar y tratar los individuos con riesgo de fracturas por osteoporosis”, concluyó la especialista.

Las fracturas se producen con mayor frecuencia en la cadera, las vértebras y las muñecas (SHEFFIELD UNIVERSITY)
Las fracturas se producen con mayor frecuencia en la cadera, las vértebras y las muñecas (SHEFFIELD UNIVERSITY)

Campaña

El Hospital de Clínicas brindará una serie de jornadas orientadas a hombres para detectar y prevenir a tiempo este tipo de lesiones óseas. Esta afección se produce cuando la masa ósea disminuye con más rapidez con la que el organismo es capaz de reemplazarla, generando una pérdida neta. Desde la División Endocrinología del Hospital de Clínicas se realizará una campaña abierta a la comunidad para evaluar la salud ósea y muscular en varones mayores de 50 años.

La misma se realizará del 25 al 27 de octubre, en planta baja sector A del Hospital de Clínicas, entrada por Av Córdoba, de 8:30 a 12:30. Consistirá en una encuesta para evaluar los factores de riesgo para osteoporosis, una evaluación de la masa ósea y la masa y fuerza muscular, a través de una densitometría y un laboratorio para ver los niveles de vitamina D en sangre. La densitometría se realizará ese mismo día y por la disponibilidad de turnos, en otros individuos se los programará para la semana siguiente.

El riesgo de sufrir una fractura aumenta con la edad debido no solo a la disminución de la masa ósea, sino también a la mayor tasa de caídas entre los adultos mayores (Getty)El riesgo de sufrir una fractura aumenta con la edad debido no solo a la disminución de la masa ósea, sino también a la mayor tasa de caídas entre los adultos mayores (Getty)

Síntomas de la osteoporosis

Típicamente, las etapas iniciales de la disminución de la masa ósea no presentan síntomas. Pero una vez que la osteoporosis debilita los huesos, se podrían tener signos y síntomas. Según los expertos de Mayo Clinic son:

-Dolor de espalda, provocado por una vértebra fracturada o aplastada

-Pérdida de estatura con el tiempo

-Una postura encorvada

-Un hueso que se rompe mucho más fácilmente de lo esperado

Se debe consultar con un médico después de la menopausia temprana o si se ingieren corticoesteroides durante varios meses seguidos, o si cualquiera de los padres sufrió una fractura de cadera. Algunos factores pueden aumentar la probabilidad de desarrollar osteoporosis, entre otros, la edad, la raza, el estilo de vida, así como afecciones y tratamientos médicos.

Las fracturas por osteoporosis impactan negativamente en la calidad de vida de los individuos
(Getty Images)Las fracturas por osteoporosis impactan negativamente en la calidad de vida de los individuos (Getty Images)

Riesgos inalterables

Algunos factores de riesgo de osteoporosis están fuera del control que podamos hacer:

-Sexo. Las mujeres son mucho más propensas a desarrollar osteoporosis que los hombres.

-La edad. Cuanto mayor sea tu edad, mayor será el riesgo de osteoporosis.

-Raza. Tienes mayor riesgo de padecer osteoporosis si eres blanco o de ascendencia asiática.

-Antecedentes familiares. Tener un padre, madre o hermano con osteoporosis te pone en mayor riesgo, especialmente si tu madre o padre sufrieron fractura de cadera.

-Tamaño del cuerpo. Los hombres y las mujeres que tienen estructuras corporales pequeñas tienden a correr un riesgo más alto debido a que podrían tener menos masa ósea para utilizar a medida que envejecen.

Los hombres presentan un riesgo 2 veces mayor que las mujeres de morir luego de una fractura de cadera
(Getty)Los hombres presentan un riesgo 2 veces mayor que las mujeres de morir luego de una fractura de cadera (Getty)

Niveles hormonales

La osteoporosis es más común en personas que tienen demasiada o muy poca cantidad de ciertas hormonas en el cuerpo. Por ejemplo:

-Hormonas sexuales. Los niveles bajos tienden a debilitar los huesos. La disminución de los niveles de estrógeno en las mujeres menopáusicas es uno de los mayores factores de riesgo para el desarrollo de la osteoporosis. Los tratamientos contra el cáncer de próstata que reducen los niveles de testosterona en los hombres y los tratamientos contra el cáncer mamario que reducen los niveles de estrógeno en las mujeres podrían acelerar la pérdida ósea.

-Problemas de tiroides. Los niveles altos pueden causar osteoporosis. Esto puede producirse si la tiroides es hiperactiva o si se toman demasiados medicamentos de hormonas tiroideas para tratar una tiroides poco activa.

-Otras glándulas. La osteoporosis también se asoció con la hiperactividad de las glándulas paratiroides y de las suprarrenales.

Las etapas iniciales de la disminución de la masa ósea no presentan síntomas
(Getty Images)Las etapas iniciales de la disminución de la masa ósea no presentan síntomas (Getty Images)

Factores alimenticios relacionados a la osteosporosis

La osteoporosis es más probable que ocurra en personas que tienen:

-Bajo consumo de calcio. La falta de calcio a lo largo de la vida juega un papel importante en el desarrollo de la osteoporosis. Una dieta baja en calcio contribuye a la disminución de la densidad ósea, la pérdida ósea temprana y un mayor riesgo de fracturas.

-Trastornos de la alimentación. La restricción extrema de la ingesta de alimentos y el bajo peso debilitan los huesos tanto en hombres como en mujeres.

-Estilo de vida sedentario. Las personas que pasan mucho tiempo sentadas tienen un mayor riesgo de presentar osteoporosis que las que son más activas. Cualquier ejercicio con peso y actividades que promuevan el equilibrio y la buena postura son beneficiosos para los huesos, pero caminar, correr, saltar, bailar y levantar pesas parecen ser particularmente beneficiosas.

-Consumo excesivo de alcohol. El consumo regular de más de dos bebidas alcohólicas al día aumenta el riesgo de osteoporosis.

-Consumo de tabaco. El papel exacto que desempeña el tabaco en la osteoporosis no está claro, pero se demostró que el consumo de tabaco debilita los huesos.

Fuente: https://www.infobae.com/america/2023/10/20/fracturas-por-osteoporosis-un-riesgo-creciente-en-hombres-mayores-de-50-anos/